Entender o que significa um cateter ser radiopaco, e por que a visibilidade em raio-X, é essencial para segurança, posicionamento correto e controle clínico por imagem. No ambiente hospitalar moderno, o uso de dispositivos guiados por métodos de imagem tornou-se prática frequente para aumentar a precisão técnica e reduzir riscos assistenciais. Nesse contexto, compreender o conceito e importância de cateteres radiopacos é fundamental para profissionais de saúde envolvidos em procedimentos invasivos.
A visibilidade radiográfica de um dispositivo médico não é apenas uma característica adicional. Pelo contrário, ela representa um atributo técnico determinante para controle clínico, monitoramento e validação do posicionamento intravascular.
Ao longo deste artigo, a Biomedical explica o que é radiopacidade, por que ela é frequentemente usada na cateterização e como essa característica está presente nos cateteres desenvolvidos pela empresa.
O que é radiopacidade?
A radiopacidade está relacionada à capacidade de um material atenuar ou absorver radiação ionizante, tornando-se visível em exames de imagem como raio-X e fluoroscopia. Esse fenômeno é diretamente associado ao conceito de radiodensidade, que descreve o grau de absorção dos raios-X por determinada substância.
A radiodensidade refere-se à propriedade física que determina o quanto um material aparece claro ou escuro em uma radiografia, dependendo da quantidade de radiação absorvida.
Em dispositivos médicos, essa propriedade é obtida por meio da incorporação de agentes radiopacos à composição do material utilizado. Esses agentes radiopacos aumentam o contraste radiográfico, permitindo que o cateter seja identificado com precisão durante o procedimento.
Além disso, estudos publicados na base PubMed – base de dados gratuita de biomedicina administrada pelo governo dos Estados Unidos da América – destacam o uso de materiais radiopacos na fabricação de cateteres para otimizar a visualização sob fluoroscopia e em outros métodos de imagem intervencionista, aumentando a precisão, a segurança e o controle dos procedimentos minimamente invasivos..
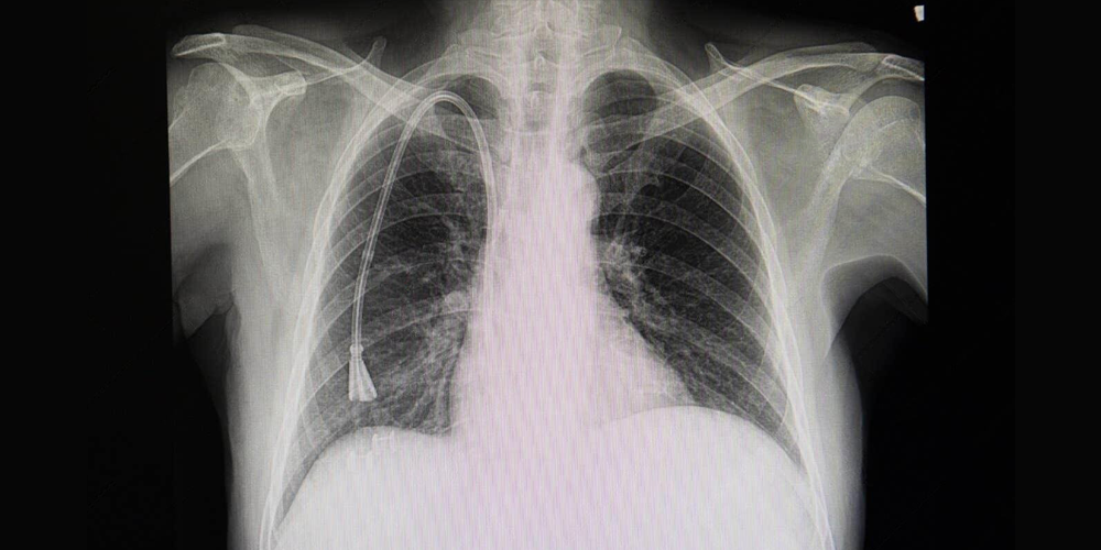
Portanto, um cateter radiopaco é aquele que pode ser visualizado em exames de raio-X, garantindo controle visual do trajeto e da posição da ponta do dispositivo.
Por que a radiopacidade é importante no posicionamento de cateteres?

Em procedimentos invasivos, o posicionamento por imagem é um dos principais fatores associados à segurança em cateterização. A inserção de um cateter sem confirmação visual adequada pode resultar em mau posicionamento, necessidade de reposicionamento ou até complicações clínicas.
Nesse sentido, a radiopacidade permite:
- Confirmação imediata da localização da ponta do cateter
- Avaliação do trajeto intravascular
- Identificação de possíveis dobras ou mal posicionamento
- Entre outros benefícios
Além disso, durante procedimentos guiados por fluoroscopia, a visualização contínua do cateter visível em RX oferece maior controle ao profissional de saúde.
Consequentemente, a incorporação de radiopacidade em dispositivos médicos radiopacos contribui para maior previsibilidade técnica e controle assistencial.
Radiopacidade nos produtos da Biomedical
A Biomedical desenvolve cateteres voltados às necessidades clínicas de alta complexidade, incorporando características técnicas alinhadas às exigências hospitalares contemporâneas.
Entre os principais dispositivos disponíveis no portal da Biomedical, destacam-se:
Cateter Venoso Central (CVC)
O Cateter Venoso Central é amplamente utilizado para administração de medicamentos, soluções parenterais, nutrição e monitorização hemodinâmica. A presença de radiopacidade permite confirmar o posicionamento adequado da ponta do dispositivo por meio de exame radiográfico.
Além disso, essa característica reduz a necessidade de múltiplas tentativas de inserção, contribuindo para maior segurança em cateterização.
Cateter para Hemodiálise
Já os Cateteres para Hemodiálise auxiliam no tratamento de hemodiálise em pacientes portadores de insuficiência renal crônica ou aguda. Neste contexto, estes dispositivos exigem posicionamento preciso para garantir fluxo sanguíneo adequado.
Nesse cenário, o cateter radiopaco facilita a confirmação do local de implantação, permitindo visualização clara em raio-X. Consequentemente, a radiopacidade auxilia na validação do posicionamento e no acompanhamento do dispositivo ao longo do uso clínico.
Cateter PICC
O Cateter Central de Inserção Periférica, também conhecido como cateter PICC, é introduzido por acesso periférico e avançado até a circulação central. Como o trajeto percorre estruturas vasculares extensas, a visibilidade radiográfica torna-se essencial.
Assim, a presença de radiopacidade nesses dispositivos reforça o compromisso da Biomedical com qualidade, confiabilidade e segurança técnica.
Radiopacidade e segurança clínica
Embora a radiopacidade não substitua técnica adequada ou treinamento profissional, ela funciona como ferramenta complementar indispensável.
Além disso, a possibilidade de identificar o cateter em exames de imagem reduz incertezas quanto à sua localização. Isso impacta diretamente a tomada de decisão clínica.
Dessa forma, o contraste radiográfico não deve ser interpretado apenas só mais uma característica de produto, mas como elemento funcional que contribui para previsibilidade do procedimento.
Biomedical: tradição, qualidade e inovação em dispositivos médicos
A Biomedical atua no setor médico-hospitalar com foco em qualidade, confiabilidade e desenvolvimento de soluções técnicas alinhadas às necessidades clínicas contemporâneas.
Seus cateteres são projetados considerando critérios fundamentais como:
- Segurança assistencial
- Controle por imagem
- Adequação às rotinas hospitalares
- Conformidade com boas práticas
Além disso, a empresa mantém compromisso contínuo com aprimoramento tecnológico e suporte ao profissional de saúde.
Conclusão
O termo Cateter radiopaco refere-se a um dispositivo capaz de ser visualizado em exames de imagem, graças à incorporação de materiais que aumentam sua radiodensidade. Essa característica permite confirmação do posicionamento, monitoramento do trajeto e maior segurança em procedimentos invasivos.
Além disso, a radiopacidade contribui para controle clínico mais preciso, especialmente em contextos que exigem punção assistida e fluoroscopia.
Os cateteres CVC, Hemodiálise e PICC da Biomedical incorporam esse atributo técnico, alinhando-se às exigências hospitalares atuais e reforçando o compromisso institucional com qualidade e confiabilidade.
Para conhecer mais sobre as soluções da Biomedical em produtos médico-hospitalares, acesse o site.
ATENÇÃO
As informações apresentadas neste blog têm caráter informativo e se baseiam em literatura e fontes institucionais confiáveis. Elas não substituem o julgamento, treinamento ou decisão de um profissional de saúde habilitado.
Fontes Consultadas
Organização Mundial da Saúde (OMS)
Diretrizes gerais sobre segurança do paciente e práticas assistenciais
https://www.who.int
ANVISA
Orientações amplas sobre dispositivos médicos e segurança hospitalar
https://www.gov.br/anvisa
PubMed
Base de dados científica com estudos sobre materiais radiopacos e visualização de dispositivos médicos
https://pubmed.ncbi.nlm.nih.gov/9206942/
https://pubmed.ncbi.nlm.nih.gov/7407290/